Geschützt: ÜB Dr. Thomas Trunk
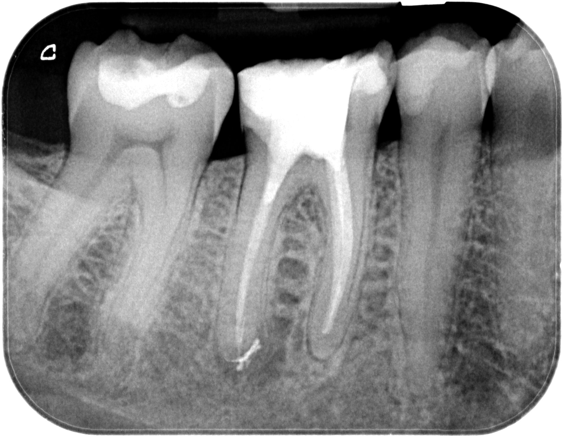
18.11.2022 Patientin DW, geb. am 12.04.1968, Zahn 46,26, WF Revision, WF-Kontrolle im Recall




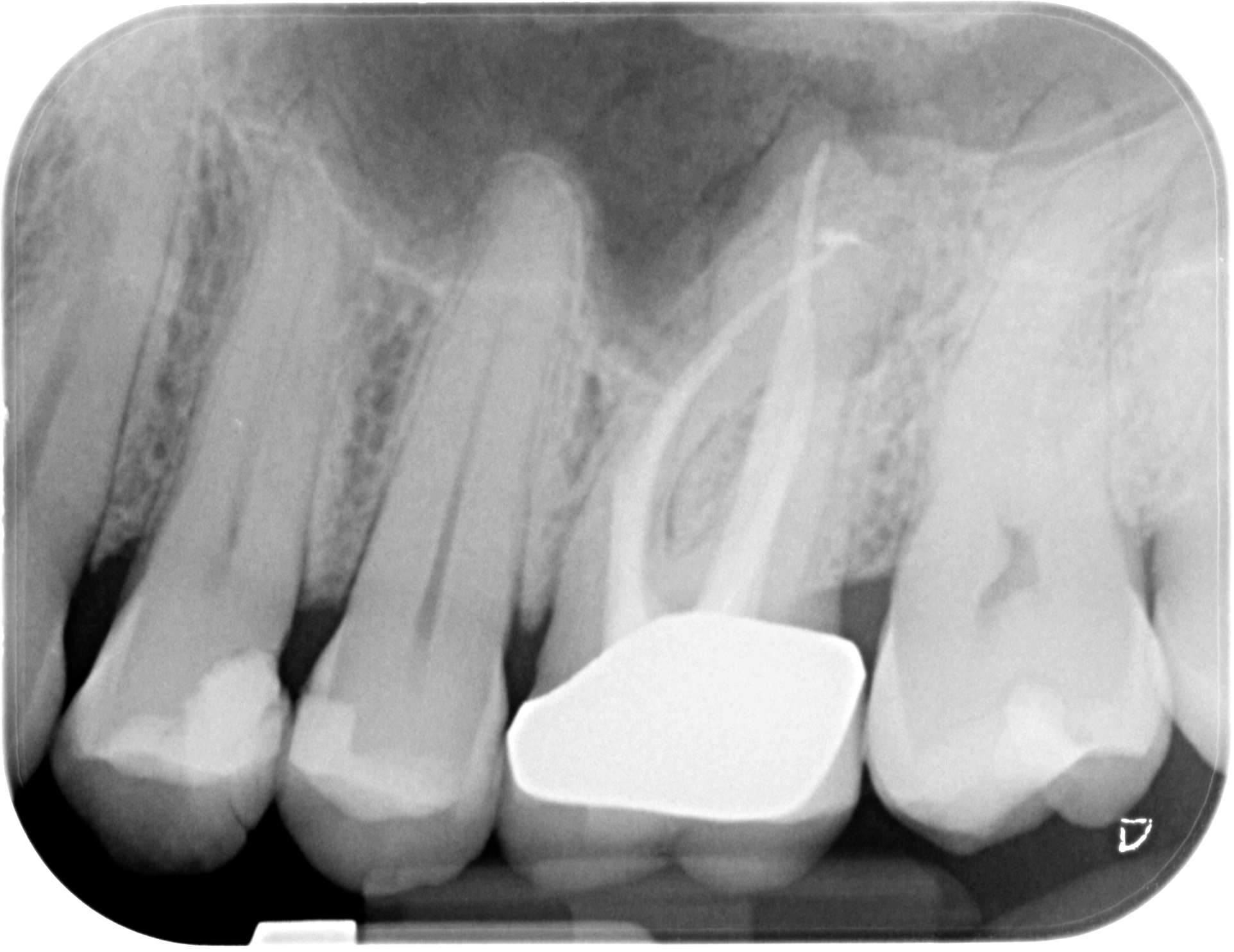
25.03.2021 Patientin DW, geb. am 12.04.1968, Zahn 46,26, WF Revision, WF-Kontrolle minimal 20 Monate post WF


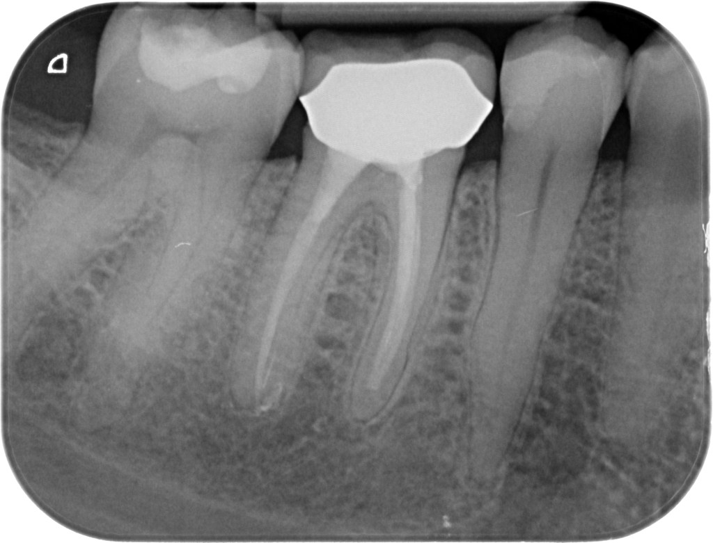
02.03.2020 Patientin DW, geb. am 12.04.1968, Zahn 46, WF Revision, WF-Kontrolle 7 Monate post WF



15.08.2019 Patientin DW, geb. am 12.04.1968, Zahn 46, WF Revision


